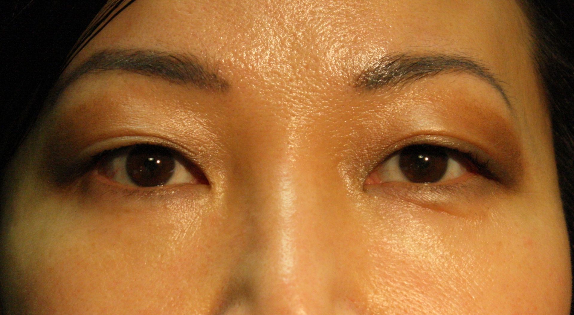
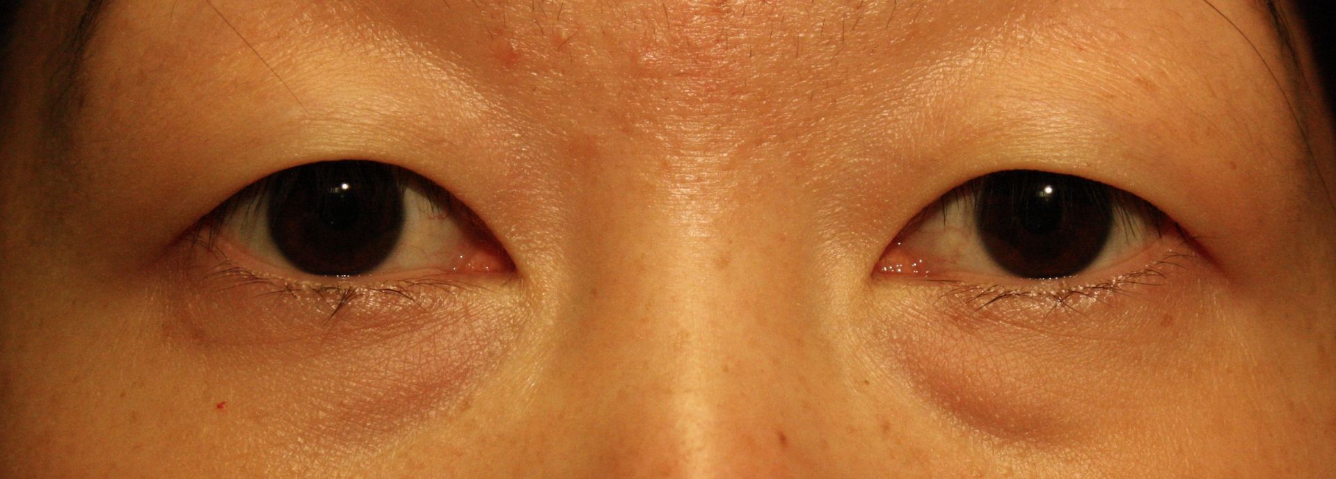
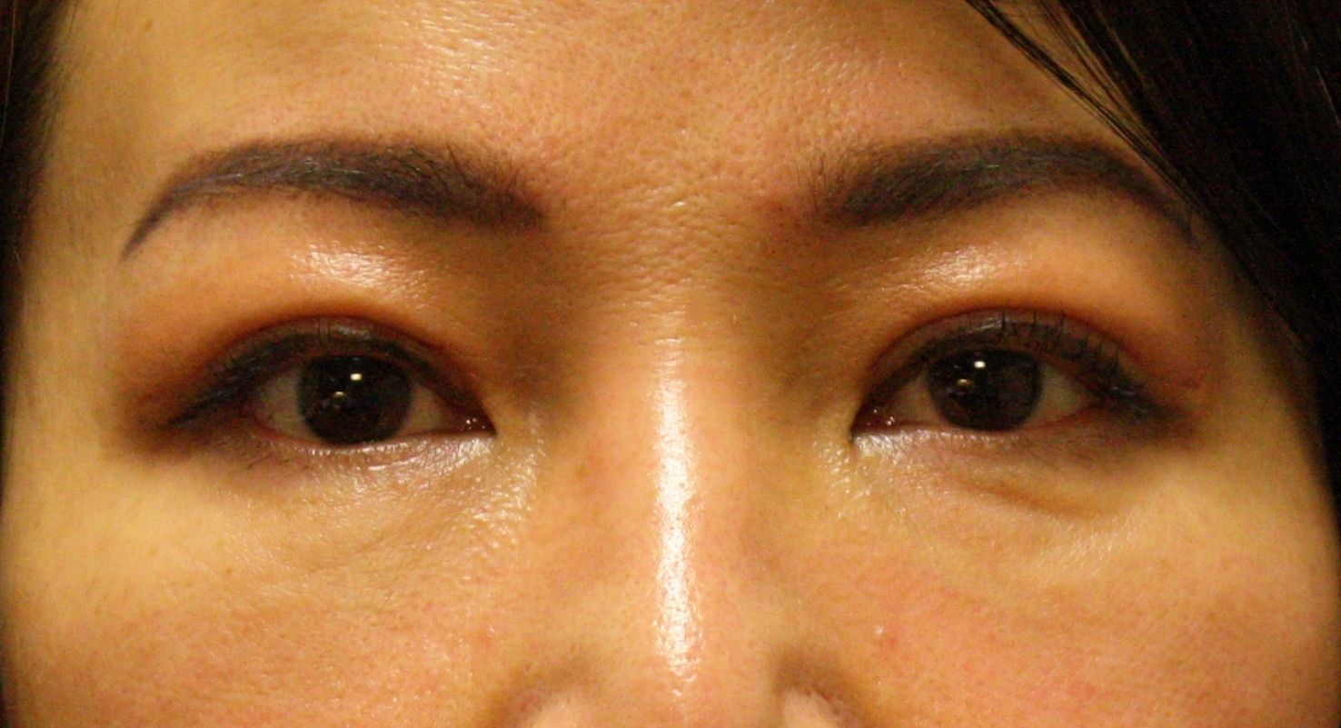
Chirurgie des paupieres asiatiques
Chirurgie des paupieres asiatiques

Cliquez sur les images pour les voir en grand format