
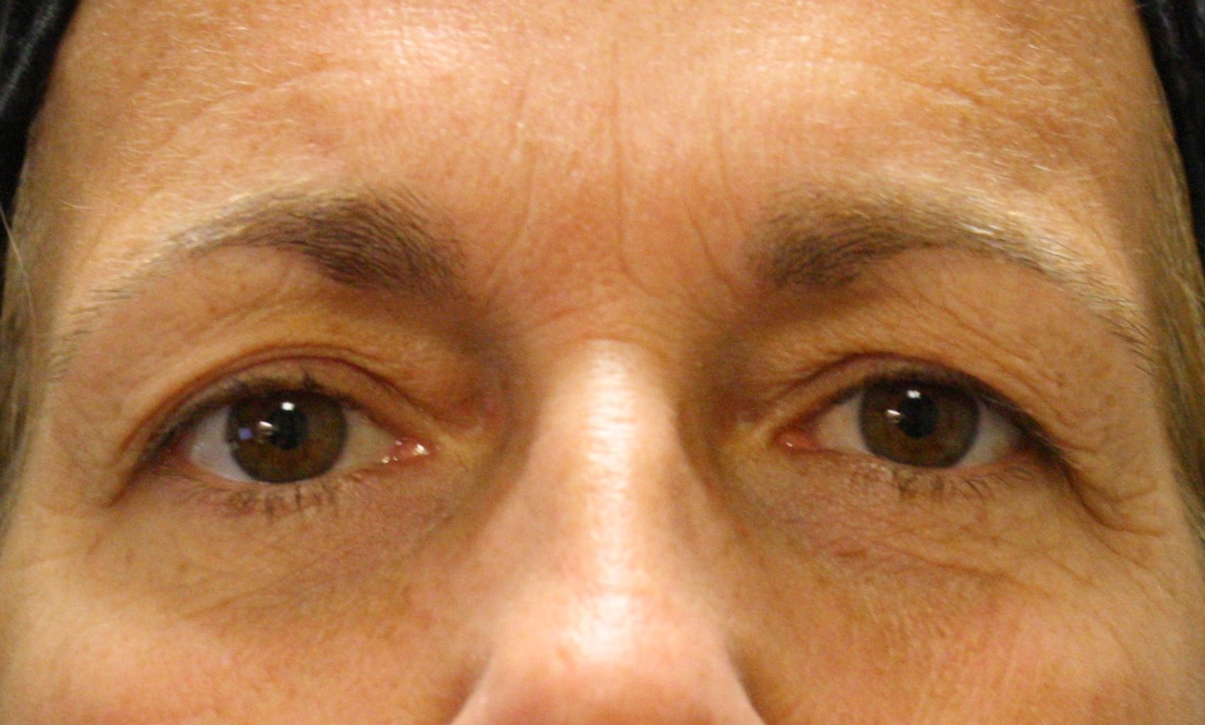
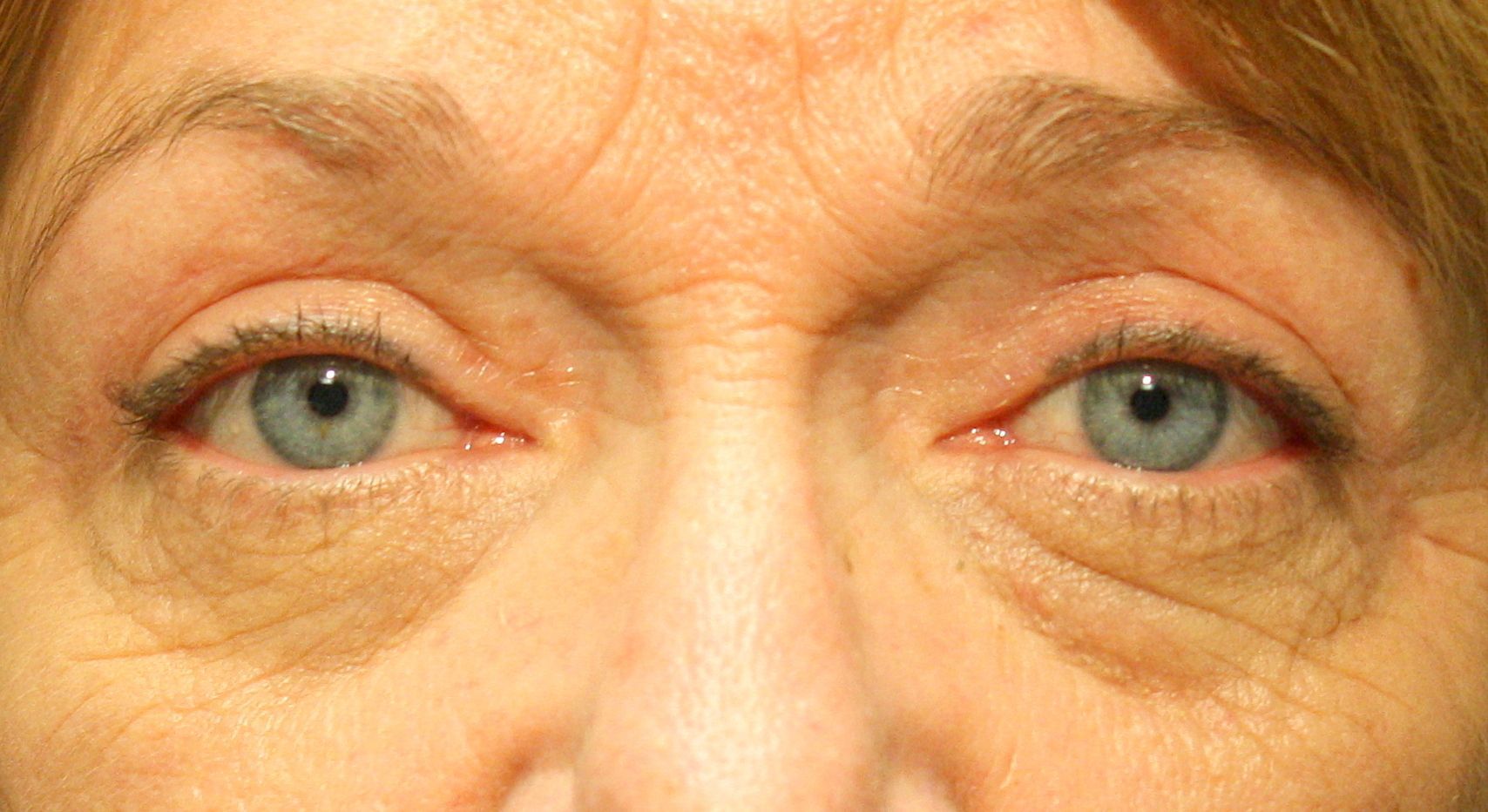
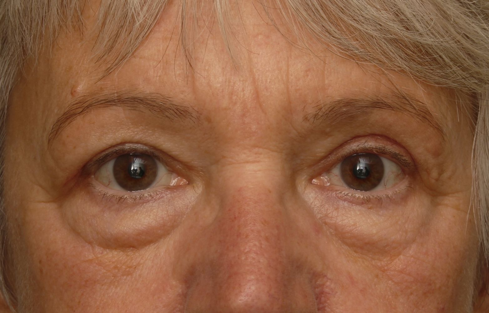
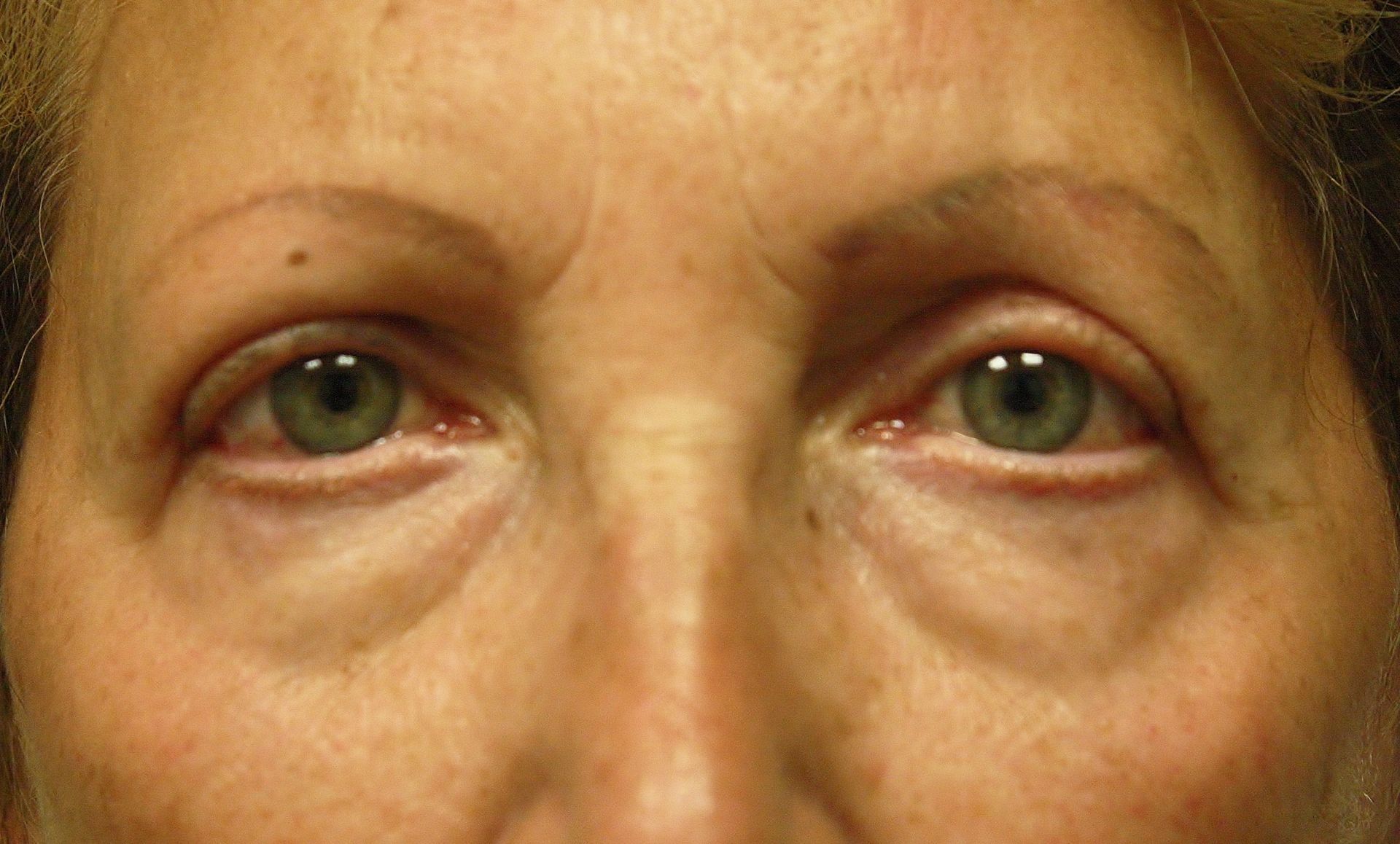
Cliquez sur les images pour les voir en grand format
Chirurgie plastique et esthétique de l’oeil
Le Clinique O est un centre de chirurgie de pointe dédié à la chirurgie esthétique et réparatrice des paupières et au rajeunissement de votre visage.
1-877-499-0101 (Sans Frais)
514-499-0108
LUN. - VEN : 9:00 AM - 16:00 PM
SAM. - DIM. : Fermé
4845 Saint-Denis,
Montréal, QC. H2J 2L7
990 Route de l’Église unité 290
Québec, QC, GIV3V5
© 2021 Clinique O. Tous droits réservés.
Politique de confidentialité | Contactez-nous
Afin d’alléger la lecture du texte, le genre masculin a été utilisé